THE BIOCLEAR METHOD: DENTAL REJUVENATION
Bioclear provides a conservative alternative to traditional preventive, cosmetic and restorative dentistry—such as fillings, veneers, crowns, root canals, and other imperfections—that is minimally invasive, long-lasting, and conserves more of your original tooth structure than other methods and composites.
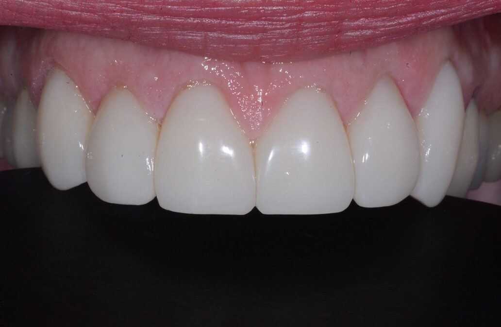
The Bioclear Method
Developed by Dr. David Clark, Bioclear is a modern approach to cosmetic and restorative dentistry that is minimally invasive, long-lasting, and conserves more of your original tooth structure than traditional methods and composites.
Why Choose Bioclear
It’s stronger and longer lasting
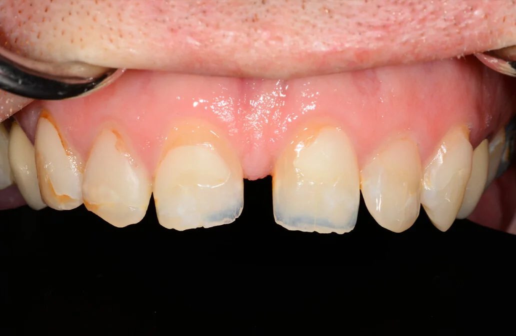
The typical longevity of a composite restoration—like certain cavity fillings—might be two to five years. Traditional composites are applied at room temperature, in successive layers. This not only creates noticeable edges at the gumline, but also weakens the structural integrity of the restoration. After that, they need to be touched up or replaced. There was clearly room for improvement.
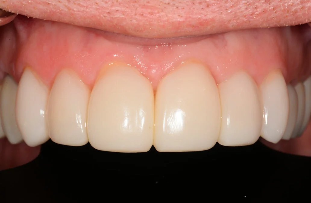
Bioclear uses a heated composite made by 3M that is flowed in, rather than layered. Essentially, the material that will form the new tooth structure is combined with a warmed, viscous material that allows it to be flowed into the Bioclear Matrix, creating a single, monolithic fill that is cured (hardened) with light. The result is harder and more structurally sound than layered composite alone. Bioclear restorations typically last fifteen to twenty years or more.
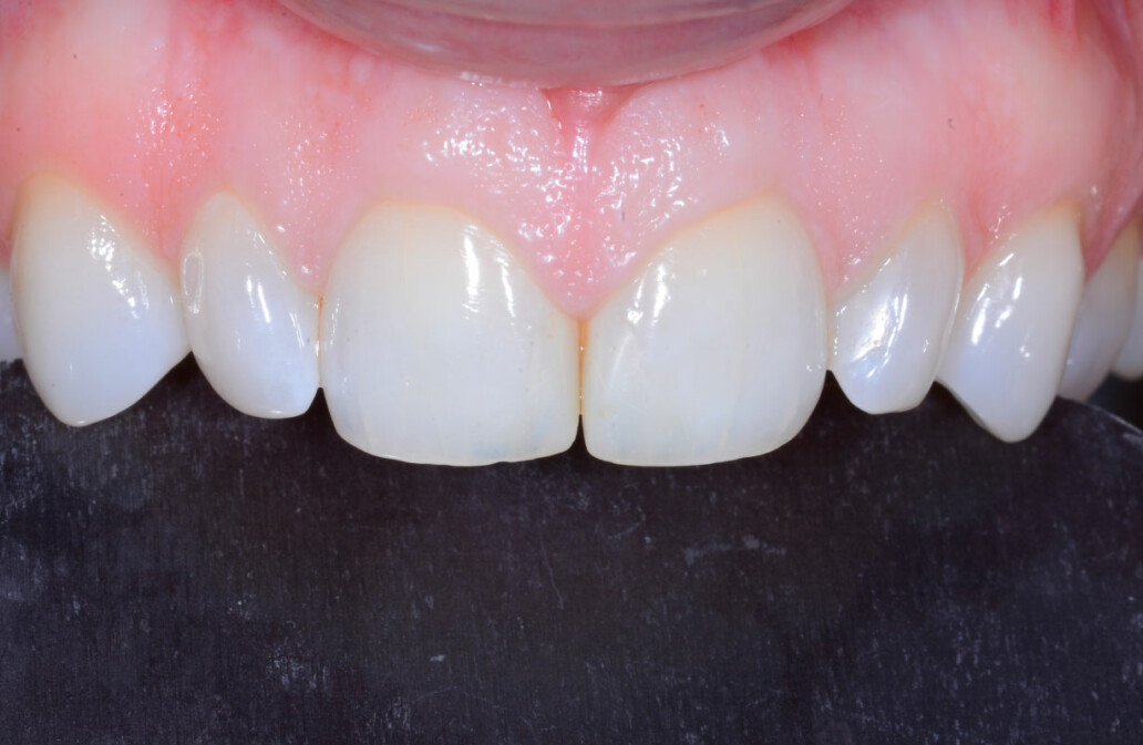
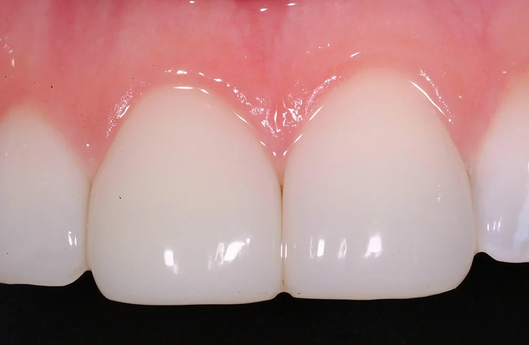
It looks better and more natural
This is due in part to the anatomically shaped Bioclear Matrices, but it also has a lot to do with the final polish.
Even the latest composites may look grainy or have a matte finish compared to the slightly translucent, reflective quality of your natural teeth. Once applied and hardened and dry, these composites are polished with a small sanding bit on a drill. Bioclear applies what we affectionately call the “Rock Star Polish.”
The polishing is done wet, using water and a special slurry, keeping the temperature down and thus maintaining the integrity of the restoration. And the polishing mix itself is made of a safe, food-grade pumice.
It conserves more of your natural tooth structure
Traditional restorations end at the gumline, often creating ridgelines that over time can irritate and inflame the gums. Bioclear restorations start below the gumline (thanks once again to the Bioclear Matrix).
Then there are the preparations! Preparations refer to the process of readying a tooth (or teeth) for restoration. Even today, dentists will remove all existing enamel in order to prep for porcelain veneers. Bioclear preparations only call for removing unhealthy tooth structure: it inherently conserves more of the healthy, original tooth. And care is taken to remove accumulated biofilm—that’s the organic material that collects even on healthy teeth—ensuring that the heated composite adheres directly to your enamel.
What can Bioclear do?
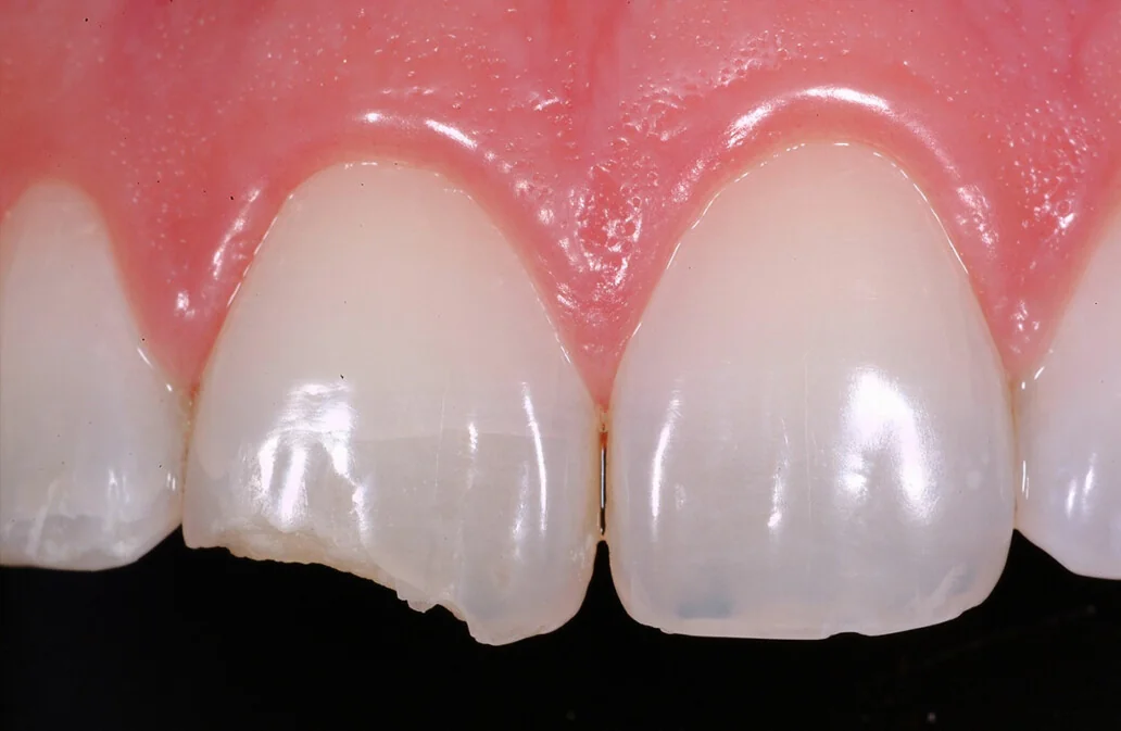
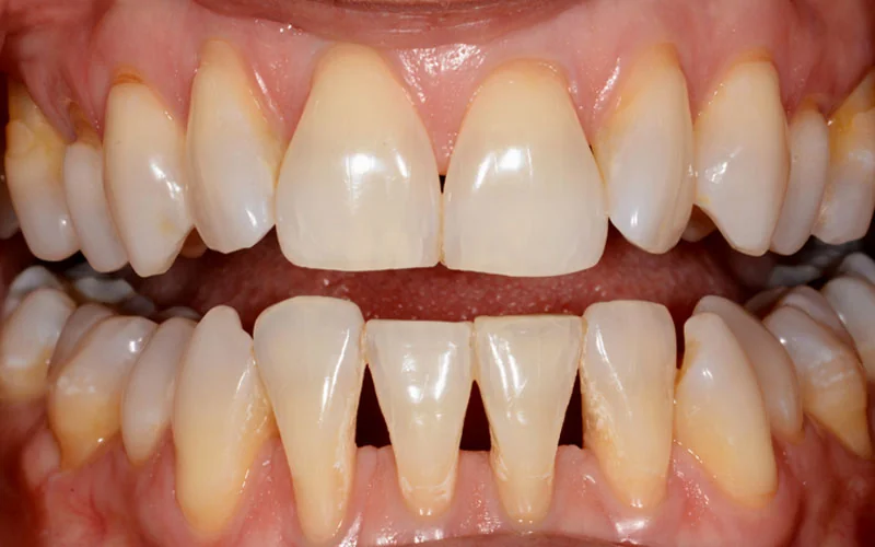
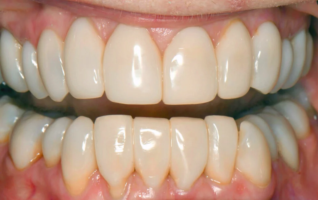
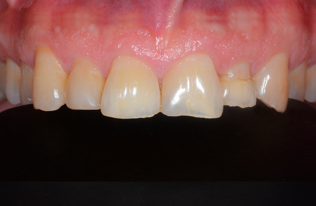
- Fill in the triangle-shaped gaps (black triangles) created by receding gumlines
- Fix chips or breaks without replacements or crowns, leaving as much of the underlying tooth structure as possible
- Repair small or misshapen teeth to create an even smile
- Cover stained or discolored teeth to create a long lasting, natural looking smile

























