A Healthy Start to a Happy Life
Address Sleep Disordered Breathing symptoms and straighten teeth WITHOUT braces

Early Treatment is Crucial
- ADD/ADHD
- Lower IQ
- Chronic Allergies
- Aggressive Behavior
- Mouth Breathing
- Crooked Teeth
- Restless Sleep
- Bedwetting
- Nightmares
- Dark Circles
- Snoring
- Irritability
- Arrested Growth
- Headaches
Health Benefits
- Address symptoms of Sleep Disordered
- Breathing
- Develop the jaw and airway
- Promote nasal breathing
- Straighten teeth without braces
- Correct tongue thrust
- Position tongue properly
- Eliminate oral habits, such as finger sucking and thumb sucking
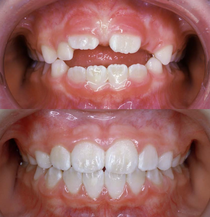
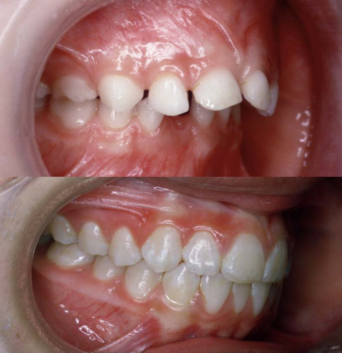
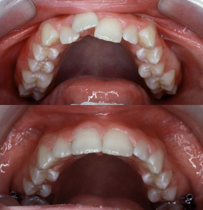
- Correct dental conditions, such as overbite, overjet, open-bite, crossbite, crowded teeth, crooked teeth and gummy smile


How HealthyStart® Can Improve Your Child’s Health
- Better Sleep | The HealthyStart appliances open the airway and allow for maximum airflow, allowing children to sleep deeper and more relaxed (without all the snoring, nightmares and bedwetting).
- Improve Grades | Better sleep plays a fundamental role in a child’s health. By opening the airway and allowing for the most restful sleep possible, children have the ability to be their most successful selves.
- Increase Focus | Quality sleep improves memory, executive function and problem-solving during childhood. A person who is sleep-deprived cannot focus properly, and continuous improper sleep has long-term effects on a child’s health and focus.
- Improve Behavior | HealthyStart improves the behavior of children by allowing for maximum airflow and non-interrupted sleep. Quality sleep improves behavior during childhood and allows them to be the healthiest and happiest versions of themselves possible.
- Straighten Teeth | The HealthyStart System promotes the natural growth of teeth into their correct alignments. Unlike many clear aligners, HealthyStart appliances are completely non-invasive and work with the natural eruption of teeth.
- Develop Jaw | Our appliances aid in opening the airway and shifting the jaw forward, all while straightening teeth and guiding them into their correct alignments. Regular clear aligners do not address the underdeveloped jaw and force teeth into alignment.





